How Does Microchanneling Stimulate Cellular Activity?
A single Procell treatment generates hundreds of thousands of microchannels in the skin. Each micro-injury initiates an inflammatory healing response, leading to the formation of new collagen. Over time, repeated healing processes enhance the skin’s surface texture and overall appearance.
What Is Microchanneling and What Are Its Benefits?
Microchanneling, a cutting-edge skincare procedure, has become highly popular in recent years. Experts consider it a key to achieving beautiful, healthy, and youthful-looking skin. Elmirastudio offers this innovative treatment, which not only improves skin appearance immediately but also facilitates the delivery of premium products and compounds into the skin.
Also known as percutaneous collagen induction therapy, microchanneling is an advanced form of traditional microneedling. This minimally invasive technique uses tiny needles to create microscopic punctures in the skin. These punctures trigger the body’s natural wound-healing response, stimulating the production of new collagen and elastin, resulting in softer wrinkles and smoother, healthier skin.
How Does Microchanneling Really Work?
Microchanneling represents the next evolution in microneedling technology. Instead of dragging a device across the skin, the needles are delivered in a “stamp” style pattern, minimizing the risk of tearing or other injuries and allowing for faster recovery.
The technique involves exfoliating the skin with tiny wires and creating uniform micro-channels of consistent size and depth in the epidermis without causing harm or irritation. These micro-channels accelerate the body’s natural healing process, reducing skin irritation and inflammation. A topical serum is applied during the procedure to aid in quick healing and skin regeneration, which is particularly beneficial for patients with acne scars.
The stem cell serum is readily absorbed through the micro-channels, promoting collagen and elastin production. This thickens the skin and reduces wrinkles, stretch marks, uneven skin tone, fine lines, acne scars, and other skin imperfections. After the treatment, a moisturizer is massaged into the skin to soothe and protect it as it heals.
How Does Microchanneling Stimulate Cellular Activity?
A single Procell treatment creates hundreds of thousands of microchannels. In response to each micro-injury, an inflammatory healing process begins which initiates the formation of new collagen. Over time, the repeated healing process improves the surface texture and the overall appearance of the skin.
How Do Stem Cells Assist Healing?
Human growth-factor serums derived from bone marrow mesenchymal stem cells are known to promote scarless healing with minimal inflammation. Application of serums immediately after microchanneling treatment enhances delivery and collagen growth.
Does Microchanneling Work?
Yes, microchanneling is an effective treatment for a variety of skin concerns, helping you achieve smoother, softer, and more even-toned skin. With consistent care and attention to your skincare routine, you can expect to see visible improvements in just two or three sessions.
Whether you have fine lines and wrinkles, hyperpigmentation, scarring, or rough skin texture, microchanneling can help you get the results you want without surgery or downtime. If you’re looking for a simple way to reduce signs of aging and other common skincare concerns while improving product absorption, microchanneling is worth considering as part of your beauty routine.
The 3-Stage Process
The Benefits of Microchanneling
Microchanneling is a minimally invasive technique for treating fine wrinkles, hyperpigmentation, rosacea, age spots, and acne scars. Unlike older microneedling methods that create significant trauma to stimulate collagen production, microchanneling uses tiny needles to produce more controlled micro-injuries. These injuries promote the synthesis of collagen and elastin. The consistent micro-channels are surrounded by healthy tissue, which accelerates the healing process.
This treatment addresses skin issues at their root, providing noticeable results. Unlike other treatments, microchanneling deeply penetrates the skin with active skincare ingredients. The benefits of microchanneling include:
Reducing the Appearance of Fine Lines and Wrinkles
Microchanneling is well-known for its ability to reduce fine lines and wrinkles. By stimulating collagen and elastin production, it smooths out existing wrinkles and prevents new ones from forming. This makes it a popular choice for those seeking a long-term solution to signs of aging, such as crow’s feet or forehead lines.
Reducing Hyperpigmentation
Microchanneling helps reduce hyperpigmentation, where certain areas of the skin appear darker than the surrounding areas. It evens out pigmentation by breaking up melanin clusters in affected skin cells.
Smoothing Out Rough or Uneven Skin Texture
Microchanneling can improve the overall texture and appearance of the skin by smoothing out rough or uneven areas. It is effective for treating acne scars, stretch marks, and other blemishes on the face or body.
Reducing Scar Appearance
Microchanneling is also effective in reducing the appearance of scars, including those caused by acne. By stimulating collagen production in the affected areas, it can diminish the visible signs of acne scars over time. In some cases, improvements may be noticeable after just one session.
Increasing Product Absorption for Better Skincare Results
Microchanneling enhances the effectiveness of skincare products by increasing their absorption. The tiny punctures in the skin’s outer layers allow active ingredients to penetrate deeper, providing greater benefits. This can enhance the results of other skincare treatments, such as dermaplaning or chemical peels.
How Many Microchanneling Treatments Are Recommended?
The number of microchanneling treatments needed depends on the severity of your skin concerns and the results you aim to achieve. Most people typically require a minimum of three sessions, spaced about four weeks apart. You can repeat a series of treatments as many times as necessary to achieve the desired effects.
Your skincare specialist will help you determine the best course of treatment for your specific needs. To maximize your results, it’s important to follow all post-treatment recommendations, such as avoiding sun exposure and using high-quality skincare products daily. With consistent care and attention, you should begin to see visible improvements in the overall health and appearance of your skin after just one or two sessions.
What does it cost?
1 Session: $650
3 Sessions: $330
Red Light Therapy: $40
*Required after each session
Procedure: 90 minutes
Touch-Up: Maintenance every 3 weeks for full results
Packages are available for 3-5 sessions, contact us for pricing.
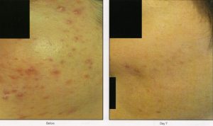
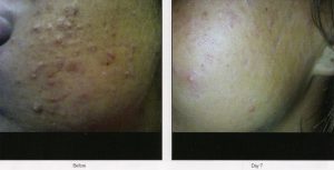
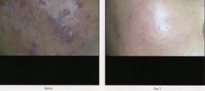
Before & After Gallery
CRISTÁL- A LUXURY FACIAL CLEANSING BRUSH
The Cristál is a deep facial cleanser that uses soft silicone bristles to deeply cleanse your skin. With a compact, dustproof and water-resistant housing, the Cristál will go with you anywhere. Revitalize your skin and wake up each day with a fresh face.
Silicone cleansing brush & heated eye massager
• DEEPLY CLEANSE YOUR SKIN
• LIGHTLY EXFOLIATES
• PAMPERING HEATED EYE MASSAGE
• EFFECTIVELY REMOVES MAKEUP
• RINSES AWAY DIRT, OIL & DEAD SKIN FROM YOUR PORES
• ULTRA-HYGENIC BRISTLES
• PREVENT FUTURE BREAKOUTS
CLEANSE YOUR FACE
• WET SILICONE BRISTLES AND PRESS THE ON/OFF SWITCH ONCE.
• MOVE BRISTLES UPWARDS IN CIRCULAR MOTION USING LIGHT PRESSURE FOR APPROXIMATELY 1-2 MINUTES.
• RINSE SKIN WITH WARM WATER AND GENTLY PAT DRY WITH FACE TOWEL.
• PAMPER YOUR EYES WITH THE ADDITIONS HEATED EYE MASSAGE FUNCTION
• USE THE SILICONE BRUSH FROM THE OTHER SIDE AND PRESS THE ON/OFF SWITCH TWICE.
• WAIT 10 SECONDS FOR THE WAND TO WARM UP.
• PLACE OVAL AREA ON TOP OF THE CLOSED EYE FOR APPROXIMATELY 1-2 MINUTES AND ENJOY THE SOOTHING THERMAL EYE MASSAGE.



